瀏覽人次:124,388 結帳櫃台(0)
健康購物


健康日報社

行政院新聞局核准登記
局版台報字第O五四四號
中華民國八十三年
五月二十七日創刊
第OOO一四O二
中華郵政
南台字七六九號
執照登記新聞紙
國內郵資已付南郵局許可證
南台第一二七四號
發行人/社長:黃森岸
設址:800 高雄市新興區
洛陽街39號12樓之2
電話:(07)2387666
E-mail:
hsa888hd
@yahoo.com.tw

健康資訊
新竹臺大分院耳鼻喉部運用達文西手術成功切除HPV引起扁桃腺癌
黃森岸
2025.08.14
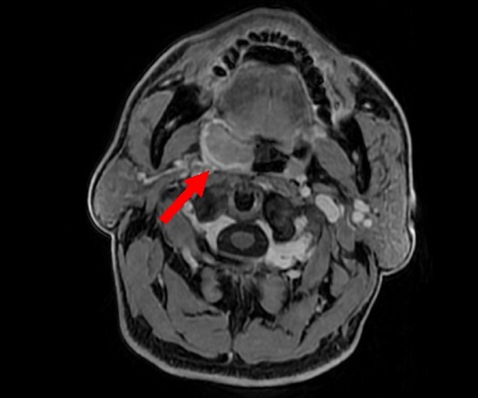
新竹臺大分院耳鼻喉部團隊近日成功運用「達文西機器手臂手術」,為一名64歲男性病人切除因人類乳突病毒(HPV)感染所致的扁桃腺癌。該名病人因右側喉嚨出現腫塊至新竹臺大分院就醫,經耳鼻喉部張峻瑋醫師診察與切片化驗後,確診為HPV感染引起的扁桃腺癌。
由於腫瘤位置隱匿、傳統手術風險高,經醫療團隊與病人充分討論後,決定採行「經口達文西機器手臂手術」進行切除。手術順利,病理報告顯示腫瘤已完全清除,病人術後恢復良好,無需接受放射線或化學治療,目前定期門診追蹤中,無復發跡象,吞嚥與飲食功能皆已恢復,生活品質明顯改善。
張峻瑋醫師指出,臺灣頭頸癌病人數逐年增加,除了與吸菸、飲酒、嚼檳榔等風險因子有關的口腔癌、口咽癌、下咽癌與喉癌外,近年由HPV感染所引起的口咽癌,尤其是扁桃腺癌的病例明顯增加,且不少病人並無菸酒習慣。由於咽喉部位解剖結構複雜、手術視野狹窄,傳統手術難度高,術後亦可能影響發聲與吞嚥功能,因此多數病人以放射線合併化學治療為主。
「達文西機器手臂的導入,為此類病人提供新的治療契機。」張峻瑋醫師進一步說明,達文西手術系統具備高解析度3D立體影像與靈活多角度的機械手臂,可於口腔與咽喉等狹小空間中進行精密操作,經自然孔道切除腫瘤,大幅降低傷口範圍與出血風險,縮短恢復期,同時保留語言與吞嚥功能,術後生活品質更佳。
達文西機器手臂手術在耳鼻喉頭頸外科的應用日益成熟,憑藉「微創、出血少、恢復快、功能保留佳」等優勢,除治療頭頸癌外,也廣泛應用於睡眠呼吸中止症的外科治療。張峻瑋醫師表示,許多睡眠呼吸中止症的病人因舌根或扁桃腺肥大、軟顎冗垂等結構問題導致上呼吸道阻塞,傳統手術受限於操作視野與角度,難以完整處理。透過達文西系統在狹窄氣道中提供清晰視野與靈活操作,可精準移除多餘組織,避開重要神經與血管,有效改善呼吸道通暢性,提升病人整體睡眠品質與日常功能。
張峻瑋醫師也提醒,並非所有病人皆適合接受達文西手術,建議由專業醫師根據個別病情與身體狀況進行詳細評估與溝通,量身擬定最合適的治療方案。
隨著科技發展與醫療技術進步,新竹臺大分院將持續為病人帶來更精準、安全與舒適的治療選擇。

健康日報社
行政院新聞局核准登記局版台報字第O五四四號
中華民國八十三年五月二十七日創刊 第OOO一四O二
中華郵政南台字七六九號執照登記新聞紙
國內郵資已付南郵局許可證南台第一二七四號
發行人/社長:黃社長

設址:800 高雄市新興區洛陽街39號12樓之2
電話:(07)2387666
傳真:(07)2388683
E-mail:hsa888hd@yahoo.com.tw