瀏覽人次:124,378 結帳櫃台(0)
健康購物


健康日報社

行政院新聞局核准登記
局版台報字第O五四四號
中華民國八十三年
五月二十七日創刊
第OOO一四O二
中華郵政
南台字七六九號
執照登記新聞紙
國內郵資已付南郵局許可證
南台第一二七四號
發行人/社長:黃森岸
設址:800 高雄市新興區
洛陽街39號12樓之2
電話:(07)2387666
E-mail:
hsa888hd
@yahoo.com.tw

健康資訊
改良肝動脈內灌注化療技術:提升中晚期肝癌治療成效
黃森岸
2025.11.06

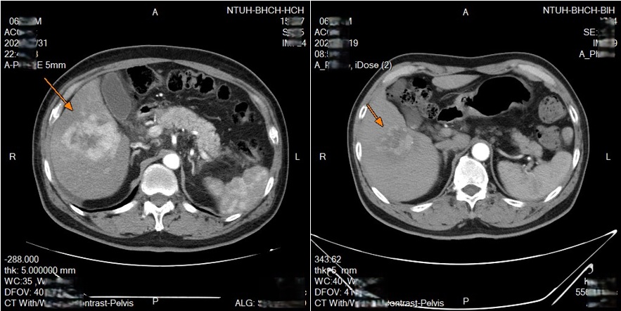
新竹臺大分院收治一名63歲男性,先是得了淋巴癌,而後在治療期間又發現肝腫瘤,確診肝癌。經醫療團隊與病人充分討論後,安排進行鎖骨下導管置放於肝動脈灌注化療,歷經兩次療程腫瘤明顯縮小。

肝癌長期高居國人癌症發生率與死亡率前幾名,慢性肝病與肝硬化也名列十大死因。隨著肝癌早期篩檢日漸普及,許多病人在發現肝癌時能接受手術或射頻燒灼等治療,獲得良好的治療效果。但對於部分居住在偏鄉、醫療資源較不足,或錯過最佳治療時機的中晚期肝癌病人,治療方式相對受限,也面臨更高的治療難度。

新竹臺大分院影像醫學部游加樂醫師表示,肝動脈內灌注化療(HAIC)技術近年在台灣逐漸興起,已成為無法接受根治性手術或栓塞術的中晚期肝癌病人的重要治療選項之一。

肝動脈內灌注化療(HAIC)減少副作用

游加樂醫師說明,HAIC技術的原理在於通過置放管路,將化療藥物直接送入肝動脈,使藥物高濃度集中於肝臟腫瘤細胞,能達到比傳統靜脈全身化療更高的治療效果。由於藥物集中於肝臟,病人全身性的副作用會大幅降低,與全身化療相比,治療過程中的不適與併發症也明顯減少。

然而,傳統的HAIC技術需通過鼠蹊部插管來放置長期導管,這不僅可能引發導管移位、堵塞或感染等後遺症,還會限制病人的日常活動,造成生活上的困擾。

解決傳統治療痛點 治療過程更精準

為了解決傳統HAIC導管所帶來的不便,新竹臺大分院引進改良式「鎖骨下導管置放技術」。與傳統的鼠蹊部插管不同,改良版的導管是經由左鎖骨下動脈放置,每次治療後可迅速移除導管,避免長期放置導管所帶來的血管阻塞等風險。此外,這項技術減少了病人的活動限制,並且治療後的復原時間也更短。病人在住院期間能夠保持較高的活動自理能力,生活品質顯著提升。

透過可移動式的導管放置,每次治療後都可以重新調整導管的位置,若導管移位或堵塞,可以迅速處理,從而達到更好的治療效果,並且減少併發症的發生。臨床上,不少病人對治療產生良好反應,部分病人在影像追蹤中可見腫瘤縮小或消失,顯示治療具相當潛力。

多管齊下 提高疾病的控制率

游加樂醫師強調,除了HAIC治療外,許多中晚期肝癌病人仍需搭配其他治療方式來達到最佳效果。當HAIC治療結束後,醫師可依病情需要進行肝動脈栓塞術或免疫藥物等輔助治療,這些治療的綜合應用,能夠大幅提高疾病的控制率,改善病人的生存機會。然而,並非所有病人都適用此技術,仍需由專業醫師進行完整評估,並依個別狀況規劃治療,病人的積極態度與家屬的支持也是成功的重要關鍵。

隨著醫療技術的進步,中晚期肝癌病人的治療方式愈加多元與精細。鎖骨下導管置放肝動脈內灌注化療(HAIC作為除根治性手術與傳統治療外的重要選項,能為無法接受手術的病人提供更精準、有效的治療,希望帶來更多生存契機與更好的生活品質。

健康日報社
行政院新聞局核准登記局版台報字第O五四四號
中華民國八十三年五月二十七日創刊 第OOO一四O二
中華郵政南台字七六九號執照登記新聞紙
國內郵資已付南郵局許可證南台第一二七四號
發行人/社長:黃社長

設址:800 高雄市新興區洛陽街39號12樓之2
電話:(07)2387666
傳真:(07)2388683
E-mail:hsa888hd@yahoo.com.tw